Etiqueta: tratamientos
Dan esperanza a pacientes con tumores cerebrales
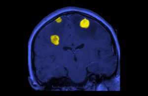
Los tumores cerebrales ocupan el lugar 19 entre todas las neoplasias, y el 10 entre las más letales. A nivel mundial, cada año se...
Descubre ¿por qué se mueren de Coronavirus?
Por David Uriarte /
La muerte es inevitable, la esperanza de vida también, todas o casi todas las personas saben que tarde o temprano se...












