Etiqueta: monedas
Investigan historia de las monedas acuñadas en el noroeste de México
Rafael Ayala Aragón, académico de la UAS, presentará su libro basado en una exhaustiva investigación histórica sobre el sistema monetario entre 1750 y 1905
Culiacán,...
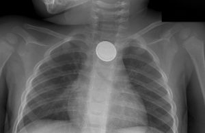
Extraen médicos monedas, uvas y figuritas de plástico del estomago de...
Ingesta de cuerpos extraños y sustancias cáusticas pueden causar consecuencias fatales si no se atienden a tiempo y debidamente, advierten especialistas
Monedas, uvas y corazones...












